精准切除 量体裁衣——我院骨病科常规开展3D打印定制化保关节假体重建技术
随着医学技术的发展,骨肿瘤切除后的保肢手术已经成为常用治疗方案。但受限于骨缺损的重建技术,尤其是临近关节的肿瘤,在切除肿瘤和受累骨后如何保留关节,并坚固重建,一直是医学界的一个难题。 3D打印假体保肢术是一种创新的医疗技术,融合了骨肿瘤外科、材料科学和数字化制造领域的前沿成果,是解决这一难题的新兴手段。它最大的优势在于“量身定制”,即利用先进的3D打印技术,医生可以根据患者自身骨头的形状以及截骨的形面,精确设计出完美匹配的假体和确保手术精准操作的“截骨导板”,解决了传统方法常常遇到的“假体不合适”和“固定不牢固”这两个老大难问题,不仅让重建更牢固,更重要的是大大增加了保住关节功能的机会。 目前,该项技术已在四川省骨科医院骨病科常规化开展。科室依托成熟的数字化诊疗平台与精准技术体系,实现从术前精准规划、术中个体化重建到术后快速康复的全流程诊疗,为众多骨关节肿瘤、大段骨缺损患者提供了保关节、保肢体的优质治疗方案。
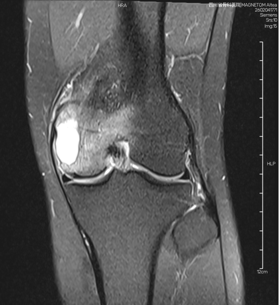
一中老年女性患者,穿刺确诊股骨远端软骨肉瘤。影像学可见膨胀性生长、骨质破坏、病灶内钙化影。此患者根据病理结果常规需行股骨肿瘤膝假体置换,需切除膝关节内外侧副韧带及前后交叉韧带等稳定装置,手术创伤大,术后康复时间长。经科室讨论并结合患者家属意见,评估该患者具备保留膝关节的条件,遂采用 3D 打印定制化假体行保关节假体重建,最大限度保留膝关节稳定结构,实现早期快速康复。

影像学可见病灶

医工结合3D打印建模,设计截骨线及假体

术中应用3D定制截骨导板精准截骨重建

术中安置定制假体,假体匹配良好
目前,我院骨病科在郎志刚主任带领下已熟练开展定制化3D打印假体,拥有丰富重建经验,可应用于全身各部位骨骼肿瘤切除后、骨感染大段骨缺损切除后的肢体重建。我们通过3D打印假体的术前数字化规划、术中精准重建和术后快速康复,为患者提供了“一站式全套解决方案”,以精准化、个体化治疗为特色,不断为患者肢体功能重建与早期康复提供坚实保障。
扫一扫 手机端浏览



